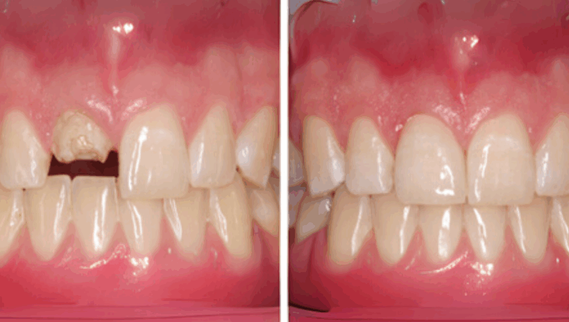
All-Ceramic Crowns
All-ceramic crowns are typically used for front teeth restoration in order to create a natural translucent appearance. The modern technology available today offers many different types of ceramic materials that have durability as good as metal restorations. We carefully select our materials and work with only top laboratories to guarantee the best results for the patient.
