Bonding is a process that can improve the appearance of teeth that are chipped, broken, stained, or have spaces between them. The process usually requires little to no drilling. The tooth is first prepared by roughening the tooth surface. Any damage to the surface area is also removed. A resin with the exact matching shade…
Bridges
A more traditional restoration that replaces the space when one or more teeth have been lost.
Ceramic Crowns
We carefully select our materials and work with only top laboratories to guarantee the best results for the patient.
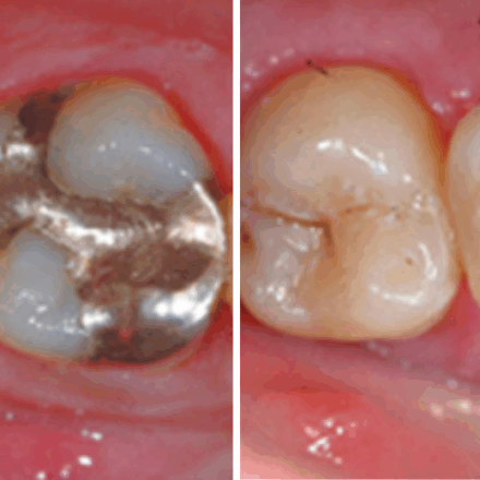
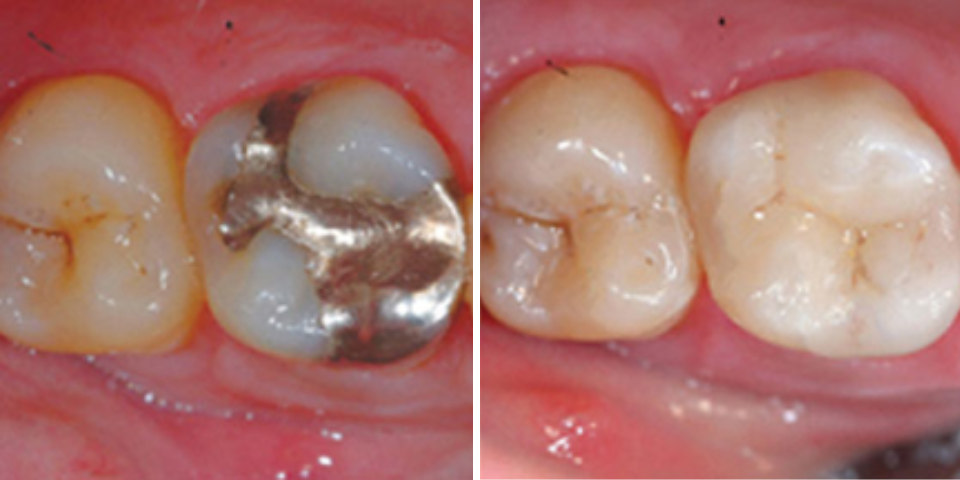
CEREC Restoration
CEREC is a superior method of creating precisely designed, color-matched, and highly durable ceramic tooth restorations.
Crowns
Sometimes called a “cap”, a crown is a tooth-like covering placed over a carefully prepared existing tooth in order to strengthen, restore, and improve the appearance of the natural tooth.
Teeth Cleanings
Custom Services posttype allows you display medical services of a large hospital as well as of small private clinic ? fantastic flexibility allows to adapt the theme to your needs. A large set of shortcodes empowers you to create unique and interactive content.
Dental CT Scan
Dental CT (computed tomography) imaging services, providing 3D images to aid in planning implant procedures and wisdom teeth extractions.
Dental Implants
Dental implants are used to replace missing teeth and provide an alternative treatment option to a bridge.
Fillings
We offer only the best, minimally invasive restorations to repair damaged and decayed teeth.
Invisalign
An alternative way to achieving straighter teeth without using braces. Because no metal wires and brackets are used Invisalign® is both comfortable and aesthetic.
Nightguards
Nightguards or occlusal splints are removable dental appliances which reduces the damages from grinding and clenching.
Periodontal Care
Periodontal disease (gum disease) is the single most common cause of tooth loss in adults.
Root Canals
Specialized treatment used to save teeth that are damaged or diseased due to a deep cavity or traumatic injury to the dental pulp.
Sleep Apnea Devices
Oral devices that can allow the airway to stay open, help the wearer breathe easily, and stop snoring.
Sportsguards
Mouthguards are commonly used in sports where deliberate or accidental impacts to the face and jaw may cause harm.
TMJ Treatment
Temporomandibular Joint Disorder (TMJD) is a disorder that arises from the temporomandibular joint (TMJ) that can lead to permanent dental and joint damage if left untreated.
Tooth Whitening
Tooth whitening is a procedure that brightens stained, discolored or generally yellow teeth. We use Zoom! whitening method.
Veneers
Veneers are an excellent cosmetic remedy for a variety of dental conditions that affect the appearance of front teeth.
Tremont Dental Care offers a verity of dental services including general and cosmetic dentistry, periodontics, endodontics, implants, and oral surgery.